Aneurysma-iliakal-IBD

Iliakalaneurysma

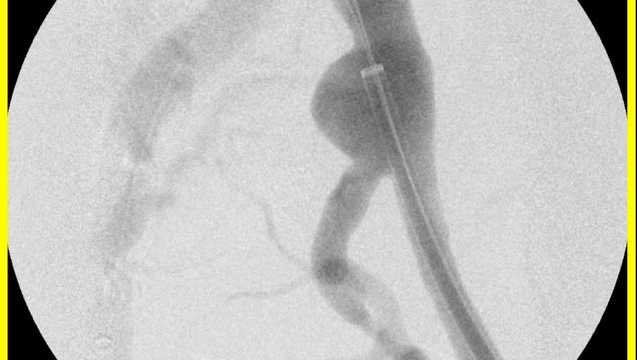
Aussackungen der Beckenschlagader (Arteria iliaca) kommen isoliert, aber v.a. in Kombination mit einem Bauchaortenaneurysma vor. Diese Iliakalaneurysmen werden heutzutage zunehmend durch Stentprothesen behandelt, d.h. minimal-invasiv durch Einbringen der Stents über die Leistenarterie.


Hier sehen Sie die endovaskuläre Behandlung eines Aneurysma der A. iliaca communis links unter Erhalt der A. iliaca Interna links.


Im Folgenden sehen Sie ein technisches Video zur Anwendung der Minibifurkationsprothese der Firma Cook.


Im Folgenden sehen Sie ein technisches Video zur Anwendung derMinibifurkationsprothese der Firma Gore.


 

Bitte tippen Sie Ihren Suchbegriff hier ein...